Appareil dentaire avant après
Traitements d’orthodontie Bardet - Gaillard (Haute Savoie)
Bienvenue sur notre page dédiée aux cas présentant les transformations avec mise en œuvre d’un appareil dentaire avant et après traitement.
Au sein du Cabinet du dr. Bardet & dr. Couvreur, nous comprenons l'importance d'un sourire confiant et en bonne santé. C'est pourquoi nous offrons des solutions orthodontiques personnalisées pour chaque patient, créant des résultats spectaculaires qui font briller les visages.
Situé à Gaillard, notre cabinet dentaire offre une position stratégique permettant de satisfaire nos patients résident à Annemasse et Genève.
Évolution du sourire à tout âge : Avant / Après en orthodontie
Orthodontie pour enfant
L’orthodontie chez l’enfant vise à corriger les problèmes dentaires et de croissance des mâchoires dès le plus jeune âge, lorsque les structures sont encore malléables. Un traitement précoce permet d’anticiper et de prévenir des complications plus complexes à l’adolescence ou à l’âge adulte. À travers ces cas avant/après, découvrez comment des interventions orthodontiques adaptées aux enfants de moins de 11 ans peuvent guider le développement harmonieux de leur sourire et leur assurer une santé bucco-dentaire optimale pour l’avenir.
Orthodontie pour adolescent
L’adolescence est la période idéale pour corriger les désalignements dentaires et les problèmes d’occlusion, car la croissance facilite le déplacement des dents. Grâce aux traitements d’orthodonties pour adolescents, les jeunes patients peuvent non seulement améliorer l’esthétique de leur sourire, mais aussi prévenir des complications futures. Découvrez à travers ces cas avant/après adolescents l’impact des traitements orthodontiques sur l’alignement des dents et la confiance en soi des adolescents. Ces transformations témoignent des bénéfices d’un suivi orthodontique précoce et efficace.
Orthodontie pour adulte
L’orthodontie adulte offre des résultats spectaculaires, tant sur le plan esthétique que fonctionnel. Grâce aux traitements adaptés, il est possible de corriger les désalignements dentaires, d’améliorer l’occlusion et de renforcer la santé bucco-dentaire. Pour illustrer ces changements, nous vous présentons plusieurs cas avant/après d’adultes qui témoignent de l’efficacité des différentes solutions orthodontiques. Ces exemples concrets montrent comment un sourire harmonieux peut transformer la confiance en soi et la qualité de vie au quotidien.
Quelques cas cliniques avant et après
H. : Cas chirurgical Classe III asymétrique
— Traité par Dr. Isabelle Bardet
sourire avant
sourire après
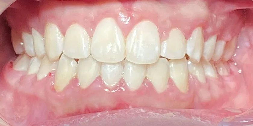
Intrabuccale avant
Intrabuccale après
H. a consulté pour une préoccupation esthétique liée à une déviation de sa mâchoire inférieure vers la droite et un décalage entre ses dents supérieures et inférieures. Ayant déjà suivi un traitement orthodontique prolongé, elle ne souhaite pas le renouvellement de l’usage de bagues sur une longue durée.
Suite à des examens cliniques et radiologiques, il a été confirmé que la mâchoire supérieure est en retrait et celle du bas présente une asymétrie.
Une chirurgie bi-maxillaire de première intention a été programmée, comprenant l’avancement de la mâchoire supérieure et le repositionnement de la mâchoire inférieure. Des bagues ont été installées deux semaines avant la chirurgie et retirées six mois plus tard.
La phase finale du traitement a été effectuée avec des aligneurs. La stabilisation du résultat a été assurée par une gouttière transparente pour la mâchoire supérieure et un fil rigide collé entre les canines pour la mâchoire inférieure.
La durée totale du parcours thérapeutique, incluant la chirurgie, s’est échelonnée sur 12 mois.
M. : Agénésie incisives latérales supérieures
— Traitée par Dr. Isabelle Bardet
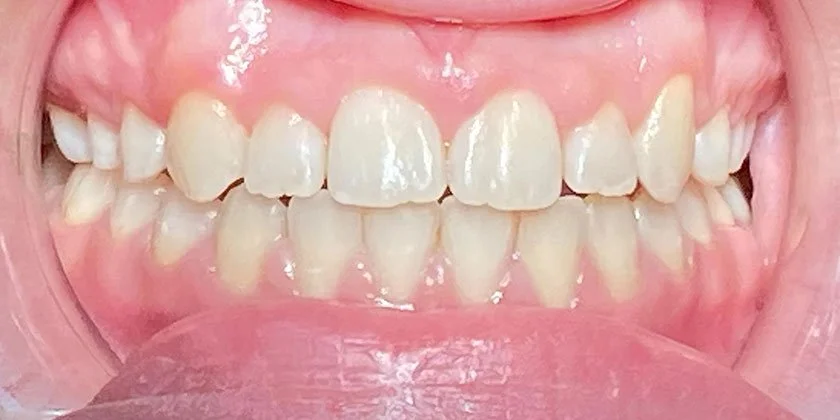
Sourire avant
Sourire après
Intrabuccale avant
Intrabuccale après
M. a consulté pour un sourire peu satisfaisant. L'évaluation clinique a mis en évidence une mâchoire supérieure étroite ainsi que l'absence des deux incisives latérales supérieures.
La première étape du traitement a été l'élargissement de la mâchoire supérieure à l’aide d’un disjoncteur. Par la suite, les espaces laissés par les incisives manquantes ont été comblés avec les canines, qui ont été remodelées grâce à une coronoplastie réductrice pour ressembler à des incisives latérales.
La stabilisation du traitement a été réalisée au moyen d'une gouttière transparente passive pour la mâchoire supérieure et d'un fil rigide collé entre les canines de la mâchoire inférieure.
La durée totale du traitement a été de deux ans et demi.
R. : Dysharmonie Dento Maxillaire
— Traitée par Dr. Isabelle Bardet
Sourire avant
Sourire après
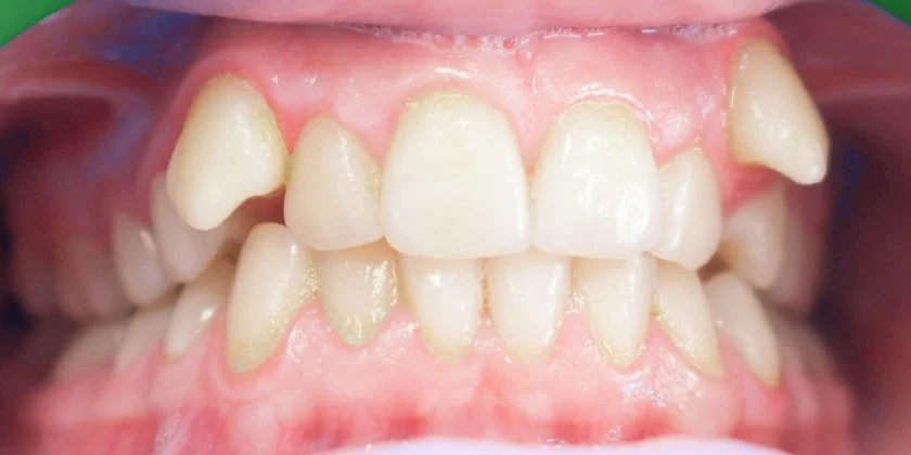
Intrabuccale avant
Intrabuccale après
R. a consulté en raison d'un encombrement dentaire sévère. L'analyse clinique a montré que les deux mâchoires étaient en bonne relation, mais qu’il y avait une incohérence entre la taille des dents et celle des mâchoires.
Les extractions de quatre prémolaires ont été réalisées pour permettre un alignement dentaire optimal, tout en maintenant de bonnes relations entre les deux mâchoires.
Pour stabiliser les résultats, une gouttière a été utilisée pour la mâchoire supérieure et un fil rigide collé entre les canines a été appliqué à la mâchoire inférieure.
Le traitement complet a duré deux ans.
C. : Classe II Dysharmonie Dento Maxillaire
— Traitée par Dr. Isabelle Bardet
Sourire avant
Sourire après
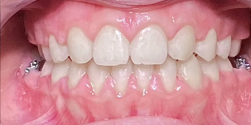
Intrabuccale avant
Intrabuccale après
C. a consulté pour des problèmes de positionnement de ses deux canines supérieures.
L'évaluation clinique a mis en évidence un décalage de classe II entre les mâchoires et des canines déplacées vers l'extérieur.
Le plan de traitement a comporté l'extraction de deux prémolaires supérieures et l'utilisation d'attaches métalliques.
Pour maintenir les résultats, une gouttière de contention a été mise en place au niveau de la mâchoire supérieure; un fil rigide collé a été appliqué de canine à canine sur la face interne des dents de la mâchoire inférieure.
Le traitement a eu une durée totale de deux ans.
V. : Béance
— Traitée par Dr. Isabelle Bardet
Sourire avant
Sourire après
Intrabuccale avant
Intrabuccale après
V. a consulté en raison d'un espace anormal entre ses dents supérieures et inférieures, appelé béance.
L'évaluation clinique a aussi identifié des problèmes d'élocution et de déglutition, ainsi qu'un décalage entre les deux mâchoires de classe II.
Un suivi auprès d'un orthophoniste pour des séances de rééducation fonctionnelle a été recommandé.
Le traitement orthodontique a réussi à fermer la béance et à corriger le décalage grâce à des ancrages osseux au maxillaire, qui ont permis une intrusion des molaires et un repositionnement du maxillaire.
Pour maintenir les résultats, une contention a été effectuée via un wrap around au maxillaire supérieur et un fil rigide collé entre les canines de la mâchoire inférieure.
A. : Classe III Dysharmonie Dento Maxillaire
— Traitée par Dr. Isabelle Bardet
Sourire avant
Sourire après
Intrabuccale avant
Intrabuccale après
A. a consulté en raison de la persistance de ses dents de lait à 17 ans et d'un encombrement marqué des dents supérieures, qui étaient également en retrait par rapport aux dents inférieures.
L'analyse clinique a identifié un maxillaire supérieur trop étroit, appelé endomaxillie, et un décalage de classe III entre les mâchoires.
Une disjonction maxillaire chirurgicalement assistée a été réalisée pour élargir le maxillaire supérieur, permettant ainsi un meilleur développement des dents permanentes et leur alignement. Des élastiques intermaxillaires de classe III ont corrigé le décalage entre les mâchoires.
Pour stabiliser les résultats, une gouttière transparente a été utilisée pour le maxillaire supérieur et un fil rigide collé entre les canines a été installé sur le maxillaire inférieur.
La durée totale du traitement a été de 30 mois, en partie à cause de la période COVID.
L. : Classe II unilatéral Dysharmonie Dento Maxillaire
— Traitée par Dr. Isabelle Bardet
Sourire avant
Sourire après
Intrabuccale avant
Intrabuccale après
L. a consulté en raison de préoccupations concernant l'alignement de ses canines sur les mâchoires supérieure et inférieure.
L'évaluation clinique a révélé une dysharmonie entre la taille des dents et celle des mâchoires, ainsi qu'un décalage sagittal, le tout dans un contexte de santé parodontale fragile.
Un traitement utilisant des bagues esthétiques et l'extraction de quatre prémolaires a permis d'atteindre un résultat à la fois esthétique et fonctionnel.
Pour maintenir ce résultat, une gouttière transparente a été placée au niveau de la mâchoire supérieure et un fil rigide collé a été installé entre les canines de la mâchoire inférieure.
Pour plus de cas cliniques spécifiques, visitez nos pages dédiées aux cas adolescents ou adultes :
Ces cas d'orthodontie mettent en évidence la transformation qu'un traitement orthodontique peut apporter à la fois sur la santé bucco-dentaire et l'esthétique du sourire. Les images avant/après permettent d'illustrer l'efficacité de l'appareil dentaire et du traitement dans la correction des problèmes dentaires et de la mâchoire, améliorant ainsi la qualité de vie du patient.
La collaboration entre le patient et le praticien pour atteindre des résultats optimaux est un élément important du traitement d'orthodontie. Pour plus de renseignements n'hésitez pas à nous contacter, notre équipe sera à votre écoute pour répondre à vos questions.
Cabinet dentaire exclusif en orthodontie et pédodontie Bardet & Couvreur
adresse: 102, rue de Genève - 74240, Gaillard
Tel: 04.50.38.40.65







