Orthodontie Adulte Avant Après

Introduction à l’orthodontie adulte

Qu’est-ce que l’orthodontie adulte ?

L’orthodontie adulte est un traitement destiné aux personnes de plus de 18 ans qui souhaitent améliorer leur sourire et leur santé bucco-dentaire.
Elle peut corriger les problèmes de morsure, d’apparence et de fonctionnement des dents et des mâchoires.

Pourquoi choisir l’orthodontie adulte ?

L’orthodontie adulte peut améliorer l’esthétique et la fonctionnalité des dents et des mâchoires.
Elle peut également prévenir les problèmes de santé bucco-dentaire à long terme.

traitements d'orthodontie à Annemasse pour adulte par aligneurs ou par bagues

Types de traitements orthodontiques pour adultes

Appareillage fixe

L’appareillage fixe est un type de traitement orthodontique qui utilise des bagues et des fils pour corriger les problèmes de morsure et d’apparence.
Il est généralement utilisé pour les cas plus complexes.

Appareillage amovible

Les appareillage amovible comme un aligneur invisible est un type de traitement orthodontique qui utilise des appareils amovibles pour corriger les problèmes de morsure et d’apparence.
Il est généralement utilisé pour les cas moins complexes.

Le processus de traitement orthodontique

Étapes du traitement

  1. Première consultation : Analyse de la dentition du patient et élaboration d’un plan de traitement sur mesure réalisée lors de cette première consultaiton.

  2. Prise d’empreintes numériques : Utilisation de technologies comme le scanner iTero pour une modélisation précise.

  3. Pose de l’appareil : Installation des bagues ou remise des gouttières .

  4. Suivi régulier : Rendez-vous périodiques pour ajuster le traitement en fonction de son évolution et suivi à distance grâce au dental monitoring pour les gouttières transparentes.

  5. Phase de contention : Maintien des résultats obtenus grâce à des appareils de rétention.

Durée du traitement

Le temps nécessaire varie selon la complexité du cas. Un traitement peut durer de 6 mois à 3 ans, selon l’importance des corrections à apporter.

Coût du traitement

Le coût du traitement orthodontique varie aussi en fonction de la complexité du cas et du type de traitement choisi. En prenant rendez-vous avec notre cabinet vous obtiendrez un devis personnalisé rapidement et adapté.

Orthodontiste à Gaillard : explication du traitement préconisé a un adolescent

Avant et après : exemples de cas cliniques

Sourires d’adultes avant et après le traitement

Voici quelques exemples de cas cliniques, traités par la cabinet d’orthodontie du Dr Isabelle Bardet, qui montrent les résultats de l’orthodontie adulte.

Les photos illustrant nos traitements avec appareil dentaire avant et après montrent l’amélioration de l’esthétique et de la fonctionnalité des dents et des mâchoires.

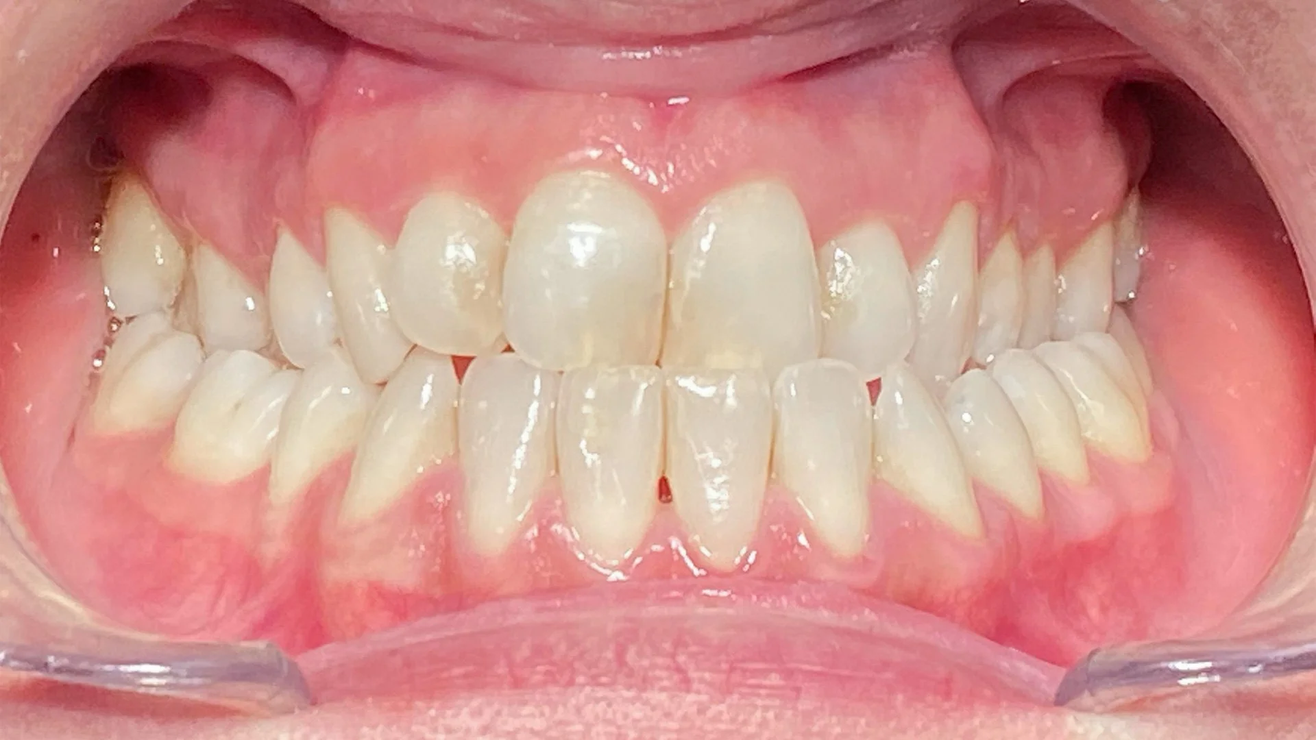
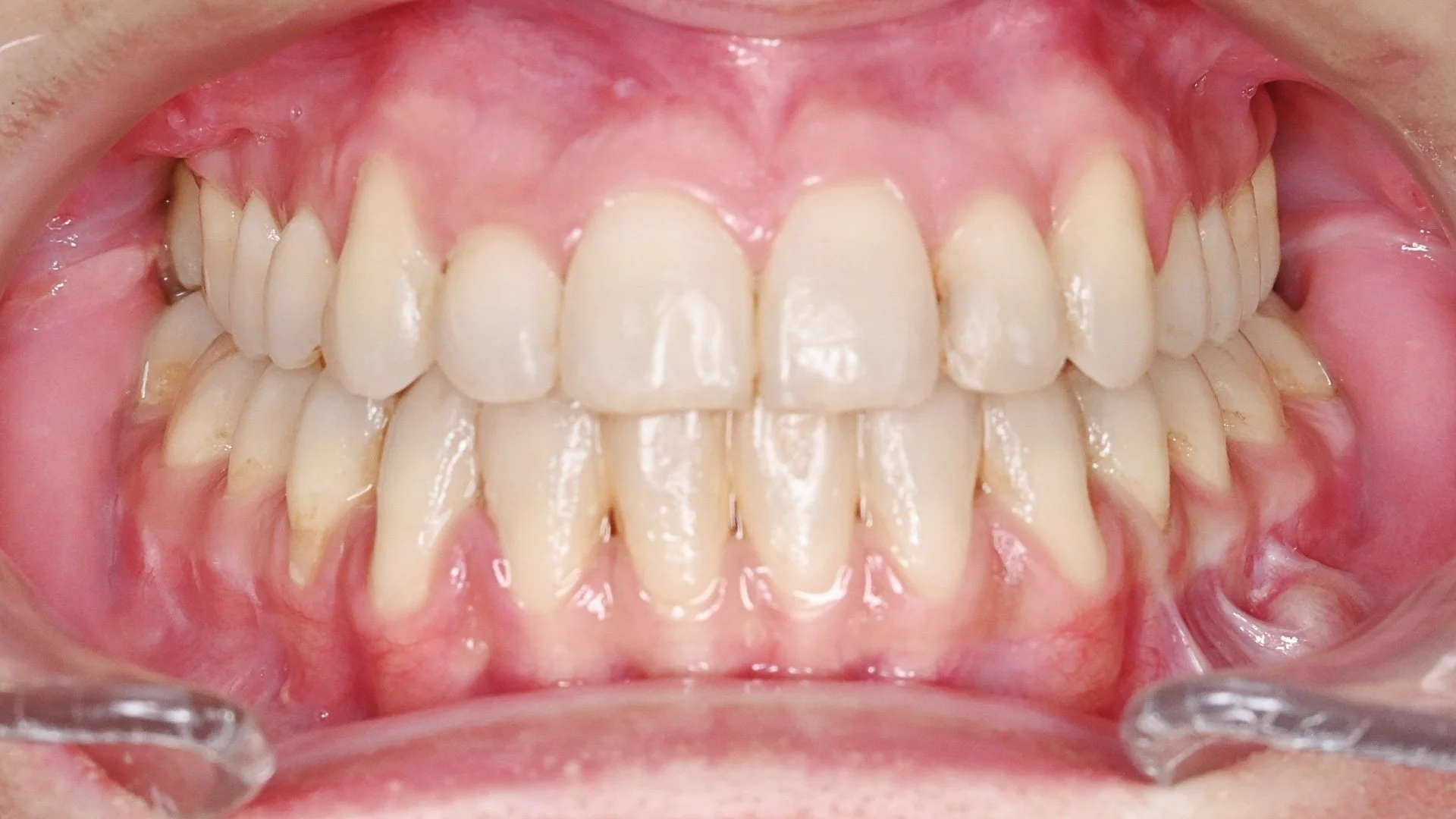
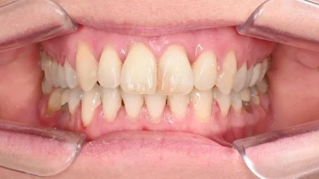
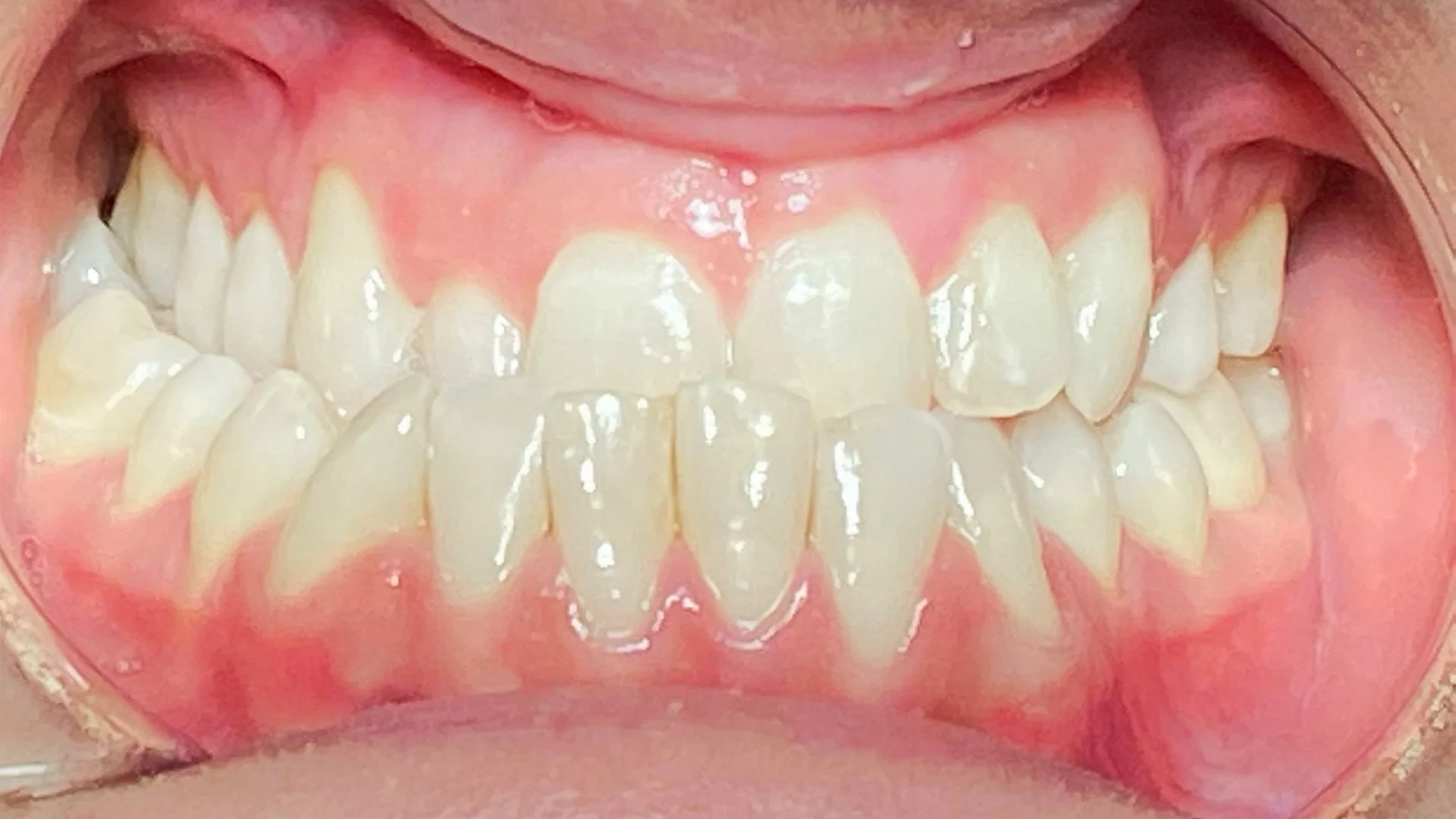
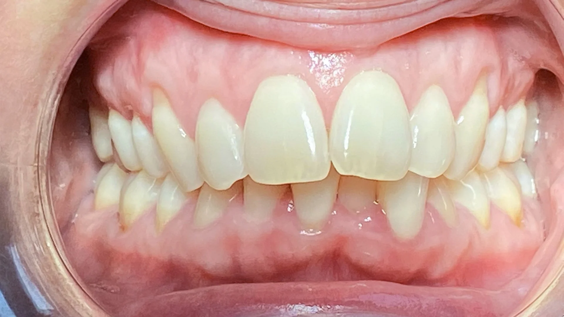
P. : Cas de Classe III squelettique avec asymétrie mandibulaire

— Traitée par Dr. Isabelle Bardet

Cas de Classe III squelettique avec asymétrie mandibulaire avant appareil dentaire
Cas de Classe III squelettique avec asymétrie mandibulaire après appareil dentaire

sourire avant

sourire après

Cas de Classe III squelettique avec asymétrie mandibulaire avant
Cas de Classe III squelettique avec asymétrie mandibulaire après

Intrabuccale avant

Intrabuccale après

P. a consulté à l’âge de 33 ans pour des problèmes esthétiques et fonctionnels liés à une malocclusion complexe. L’évaluation a révélé une Classe III squelettique accompagnée d’une asymétrie mandibulaire, compromettant l’harmonie de son sourire et la fonctionnalité de son arcade dentaire.

Le traitement, d’une durée de 3 ans, s’est déroulé en plusieurs étapes clés :

  • Une préparation orthodontique rigoureuse visant à optimiser l’alignement dentaire avant toute intervention chirurgicale.

  • Une chirurgie maxillo faciale d’avancée maxillaire et de recentrage mandibulaire pour corriger le déséquilibre squelettique.

  • Des finitions orthodontiques finales réalisées avec des multi attaches collées et des aligneurs afin de parfaire le résultat et d’harmoniser le sourire.

Ce parcours thérapeutique multidisciplinaire a permis d’obtenir une amélioration significative tant sur le plan fonctionnel qu’esthétique.

A. (sœur jumelle P. ci-dessus) : Cas de Classe III par brachy rétromaxillie

— Traitée par Dr. Isabelle Bardet

Cas de Classe III par brachy rétromaxillie avant
Cas de Classe III par brachy rétromaxillie après

Sourire avant

Sourire après

Cas de Classe III par brachy rétromaxillie avant
Cas de Classe III par brachy rétromaxillie après

Intrabuccale avant

Intrabuccale après

A. a consulté à l’âge de 33 ans pour des préoccupations esthétiques et fonctionnelles.  A. et P. souhaitaient être opérées en même temps pour continuer à se ressembler.

L’évaluation clinique a révélé une Classe III par brachy rétromaxillie, indiquant une insuffisance du développement maxillaire qui impacte l’harmonie du profil facial.

Pour corriger ce déséquilibre, une chirurgie de première intention a été réalisée, incluant une avancée maxillaire et une disjonction. Cette intervention a permis de préparer efficacement le terrain pour la phase orthodontique.

Le traitement orthodontique a été complété avec des multi attaches collées sur une durée de 1 an et 6 mois, garantissant ainsi un alignement optimal des dents et une restauration fonctionnelle et esthétique du sourire.

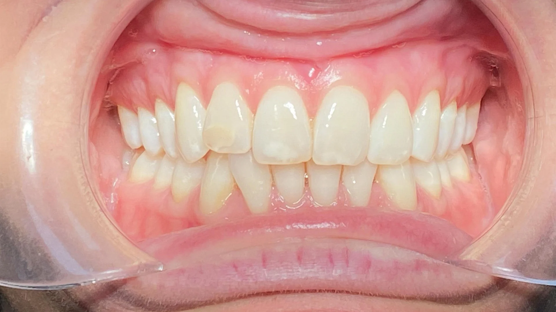
J. : Cas de Classe I DDM

— Traitée par Dr. Isabelle Bardet

Cas de Classe I DDM traités par aligneurs de type traitement invisalign avant avant
Cas de Classe I DDM traités par aligneurs de type traitement invisalign après

Sourire avant

Sourire après

Cas de Classe I DDM traités par aligneurs de type invisalign ou spark avant
Cas de Classe I DDM traités par aligneurs de type invisalign ou spark après

Intrabuccale avant

Intrabuccale après

J. a consulté à l’âge de 34 ans pour des préoccupations esthétiques et fonctionnelles. L’évaluation clinique a révélé une malocclusion de type Classe I DDM, impactant l’harmonie de son sourire et la stabilité de son arcade dentaire.

Le traitement, d’une durée de 1 an, a été réalisé avec des aligneurs, une méthode innovante qui a permis d’optimiser l’alignement des dents tout en assurant un résultat à la fois esthétique et fonctionnel.

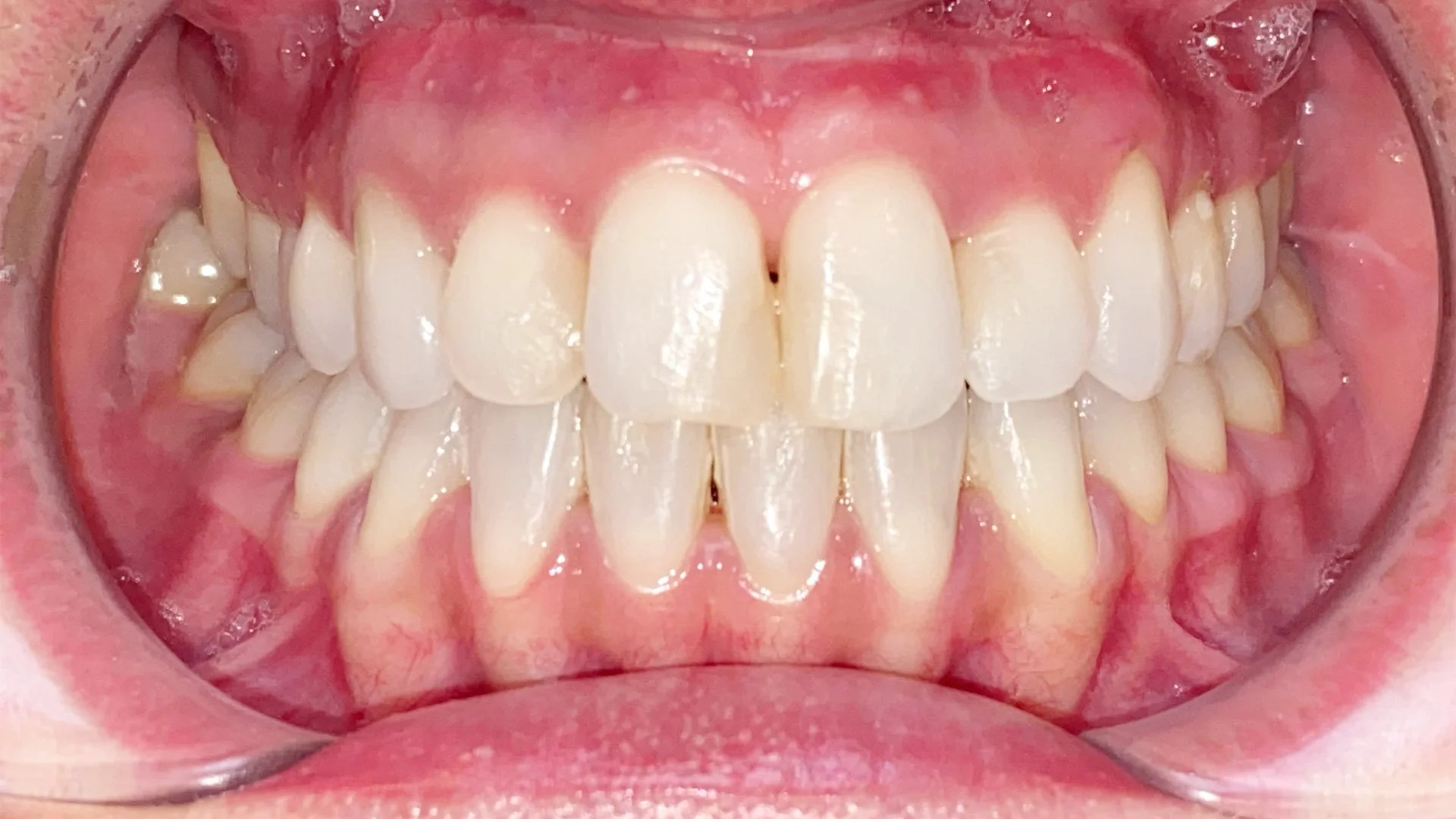
M. : Cas de Classe II droite DDM avec endomaxillie

— Traitée par Dr. Isabelle Bardet

Cas de Classe II droite DDM avec endomaxillie avant
Cas de Classe II droite DDM avec endomaxillie après

Sourire avant

Sourire après

Cas de Classe II droite DDM avec endomaxillie avant
Cas de Classe II droite DDM avec endomaxillie après

Intrabuccale avant

Intrabuccale après

M. a consulté à l’âge de 43 ans pour des préoccupations esthétiques et fonctionnelles liées à une malocclusion. L’évaluation clinique a mis en évidence une Classe II droite DDM associée à une endomaxillie, caractérisée par un maxillaire trop étroit, entraînant un déséquilibre occlusal et un manque d’harmonie du sourire.

Le traitement, d’une durée de 2 ans et 6 mois, a reposé sur une disjonction maxillaire sur ancrages palatins, permettant d’élargir le maxillaire afin d’améliorer l’alignement et la relation entre les mâchoires. Par la suite, un traitement orthodontique avec multi attaches collées a permis de finaliser l’alignement dentaire et d’optimiser la fonction occlusale.

Grâce à cette prise en charge complète, M. a pu retrouver un sourire harmonieux et une occlusion stable.

C. : Cas de récidive orthodontique avec extraction de 4 prémolaires

— Traitée par Dr. Isabelle Bardet

Cas de récidive orthodontique avec extraction de 4 prémolaires avant
Cas de récidive orthodontique avec extraction de 4 prémolaires

Sourire avant

Sourire après

Cas de récidive orthodontique avec extraction de 4 prémolaires avant
Cas de récidive orthodontique avec extraction de 4 prémolaires après

Intrabuccale avant

Intrabuccale après

C. a consulté à l’âge de 43 ans pour une récidive orthodontique après un traitement antérieur. L’évaluation clinique a révélé une malocclusion de type Classe I DDM, nécessitant une nouvelle approche thérapeutique pour restaurer l’harmonie de son sourire.

Pour corriger cet encombrement et rétablir l’alignement optimal de ses dents, une extraction de 4 prémolaires a été réalisée afin de libérer l’espace nécessaire. Le traitement a ensuite été mené avec des aligneurs, garantissant une correction progressive et esthétique sur une durée de 1 an.

Grâce à cette stratégie, C. a pu retrouver une occlusion fonctionnelle et un sourire harmonieux.

Préparation au traitement orthodontique

Comment se préparer au traitement ?

  • Maintenir une hygiène bucco-dentaire irréprochable.

  • Effectuer un contrôle dentaire avant la pose de l’appareil.

  • Adopter une alimentation adaptée pour éviter d’endommager l’appareil.

Quels sont les prérequis ?

Aucun prérequis spécifique n’est nécessaire, mais il est recommandé d’avoir une bouche en bonne santé avant de commencer un traitement orthodontique.

Suivi et entretien après le traitement

Quels sont les soins à suivre ?

Après le retrait de l’appareil, le port de conteneurs de rétention est essentiel pour stabiliser les résultats. Un suivi régulier garantit la pérennité des corrections.

Résultats et avantages à long terme

Quels sont les résultats à long terme ?

Un sourire parfaitement aligné, une mastication améliorée et une meilleure hygiène bucco-dentaire sont quelques-uns des bénéfices à long terme.

Quels sont les avantages à long terme ?

  • Une confiance en soi renforcée.

  • Une réduction des risques de caries et maladies gingivales.

  • Une amélioration du confort masticatoire et phonétique.

Transformez votre sourire dès aujourd’hui !

Ne laissez plus un mauvais alignement dentaire impacter votre sourire et votre bien-être. Que vous soyez à Annemasse ou à Genève prenez rendez-vous dès maintenant avec notre cabinet dentaire pour une consultation et découvrez la solution orthodontique la plus adaptée à votre situation.

Prendre rendez-vous

Cabinet dentaire exclusif en orthodontie et pédodontie Bardet & Couvreur
adresse: 102, rue de Genève - 74240, Gaillard
Tel: 04.50.38.40.65