Orthodontie Adolescent Avant Après

Introduction à l’orthodontie pour adolescents

Qu’est-ce que l’orthodontie chez les adolescents ?

L’orthodontie chez les adolescents vise à corriger les problèmes d’alignement des dents et des mâchoires pendant la période de croissance. C'est un moment idéal pour intervenir, car les structures osseuses sont encore malléables, ce qui permet d’obtenir des résultats efficaces et durables.

Pourquoi choisir un traitement orthodontique à l’adolescence ?

Corriger les malpositions dentaires dès l’adolescence améliore non seulement l’esthétique du sourire, mais aussi la fonction masticatoire et la santé bucco-dentaire. Un traitement précoce permet d’éviter des complications à l’âge adulte, comme des troubles articulaires ou une usure prématurée des dents.

Types de traitements orthodontiques pour adultes

Appareillage fixe (bagues métalliques ou céramiques)

L’appareil multi-attaches, plus communément appelé "bagues", est la solution la plus répandue chez les adolescents. Il permet de corriger les problèmes de malocclusion et d’alignement grâce à un système de fils et de brackets métalliques ou transparents.

Aligneurs transparents

Les gouttières invisibles représentent une alternative esthétique et amovible aux bagues traditionnelles. Elles sont particulièrement adaptées aux adolescents soucieux de discrétion. Elles nécessitent une bonne discipline pour être portées 20 à 22 heures par jour et ne sont pas forcément adaptées aux cas complexes.

Le processus de traitement orthodontique

Étapes du traitement

  1. Première consultation : Cette première consultation permet d’analyser la dentition et des besoins spécifiques de l’adolescent pour élaborer un plan de traitement personnalisé.

  2. Prise d’empreintes numériques : Utilisation de technologies modernes comme le scanner iTero pour une modélisation 3D des dents.

  3. Pose de l’appareil : Installation des bagues ou remise des gouttières invisibles.

  4. Suivi régulier : Contrôles périodiques pour ajuster l’appareil et suivre l’évolution du traitement.

  5. Phase de contention : Maintien des résultats avec des appareils de rétention pour éviter les récidives.

Durée du traitement

La durée varie selon la complexité du cas, mais elle est généralement comprise entre 12 mois et 3 ans pour un adolescent.

Coût du traitement

Le prix dépend du type d’appareil et de la durée du traitement. Un devis personnalisé est établi lors de la première consultation.

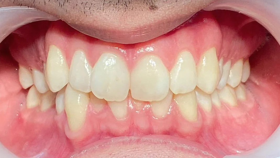
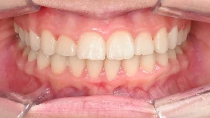
Avant et après : exemples de cas cliniques

Sourires d’adolescents avant et après le traitement

Nos photos de cas cliniques avant et après traitement illustrent l’évolution des traitements orthodontiques chez les adolescents. L’alignement des dents et l’amélioration de la fonction masticatoire sont visibles dès les premiers mois du traitement.

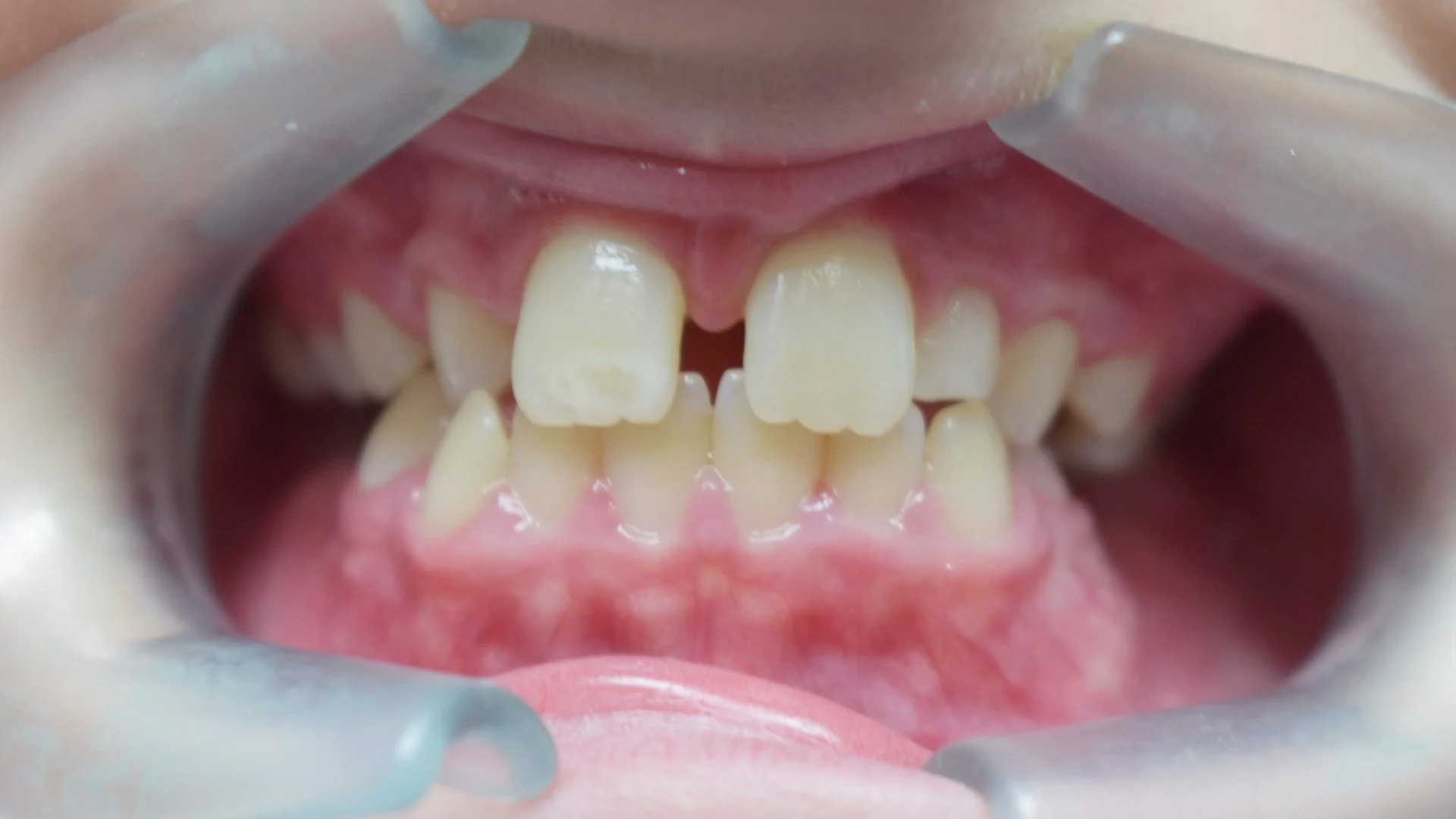
Y. : Cas d’agénésie dentaire multiple et perte dentaire

— Traitée par Dr. Isabelle Bardet

Cas d’agénésie dentaire multiple et perte dentaire Avant
Cas d’agénésie dentaire multiple et perte dentaire Après

sourire avant

sourire après

Cas d’agénésie dentaire multiple et perte dentaire Avant
Cas d’agénésie dentaire multiple et perte dentaire Après

Intrabuccale avant

Intrabuccale après

Y. a consulté dès l’âge de 11 ans et 2 mois pour des problèmes esthétiques et fonctionnels liés à l'absence de plusieurs dents. L’examen clinique a révélé des agénésies multiples (12, 22, 18, 28, 38 et 48) associées à un Classe I DDM par défaut, ainsi qu’une perte de la dent 46 due à une carie. Ces constats ont perturbé l’harmonie de son sourire et la stabilité de son arcade dentaire.

Le traitement, d’une durée de 3 ans, a reposé sur une approche multi attaches collées. La stratégie thérapeutique a consisté à fermer les espaces laissés par l’absence des dents 12 et 22, permettant ainsi de rétablir la continuité de l’arcade dentaire. Par ailleurs, une coronoplastie des dents 13 et 23 a été réalisée pour harmoniser la forme et la taille des éléments dentaires, renforçant l’esthétique globale du sourire.

La stabilisation du résultat a été assurée par des dispositifs de contention adaptés, garantissant la pérennité des corrections apportées. Ce cas illustre parfaitement comment une prise en charge personnalisée peut répondre aux défis complexes d’un patient présentant des agénésies et une perte dentaire.

A. : Cas de Classe II1 avec extraction et traitement multi attaches collées

— Traitée par Dr. Isabelle Bardet

Classe II1 avec extraction et traitement multi attaches collées avant
Classe II1 avec extraction et traitement multi attaches collées après

Sourire avant

Sourire après

Classe II1 avec extraction et traitement multi attaches collées avant
Classe II1 avec extraction et traitement multi attaches collées après

Intrabuccale avant

Intrabuccale après

A. a consulté à l’âge de 13 ans pour des préoccupations esthétiques et fonctionnelles. L’évaluation clinique a mis en évidence une malocclusion de type Classe II1, impactant l’harmonie de son sourire et la fonctionnalité de son arcade dentaire.

Pour corriger ce déséquilibre, une extraction ciblée des dents 14 et 24 a été réalisée, suivie d’un traitement multi attaches collées. Ce protocole a permis de rétablir l’alignement optimal des dents tout en améliorant l’esthétique globale du sourire.

Le traitement s’est déroulé sur une période de 2 ans et 6 mois, durant laquelle une approche personnalisée et un suivi rigoureux ont permis d’atteindre un résultat à la fois fonctionnel et esthétique.

C. : Cas de Classe II 1

— Traitée par Dr. Isabelle Bardet

Cas de Classe II 1 avant
Cas de Classe II 1 après

Sourire avant

Sourire après

Cas de Classe II 1 avant
Cas de Classe II 1 après

Intrabuccale avant

Intrabuccale après

C. a consulté à l’âge de 11 ans et 6 mois pour des préoccupations esthétiques et fonctionnelles. L’évaluation clinique a révélé une malocclusion de type Classe II 1, impactant l’harmonie de son sourire et la fonctionnalité de son arcade dentaire.

Le traitement, d’une durée de 2 ans et 6 mois, a reposé sur une approche multi attaches collées. Cette méthode a permis de réaligner efficacement les dents, améliorant ainsi la cohérence de l’occlusion et l’esthétique globale du sourire.

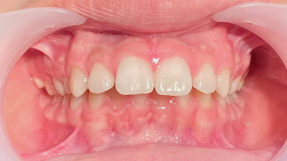
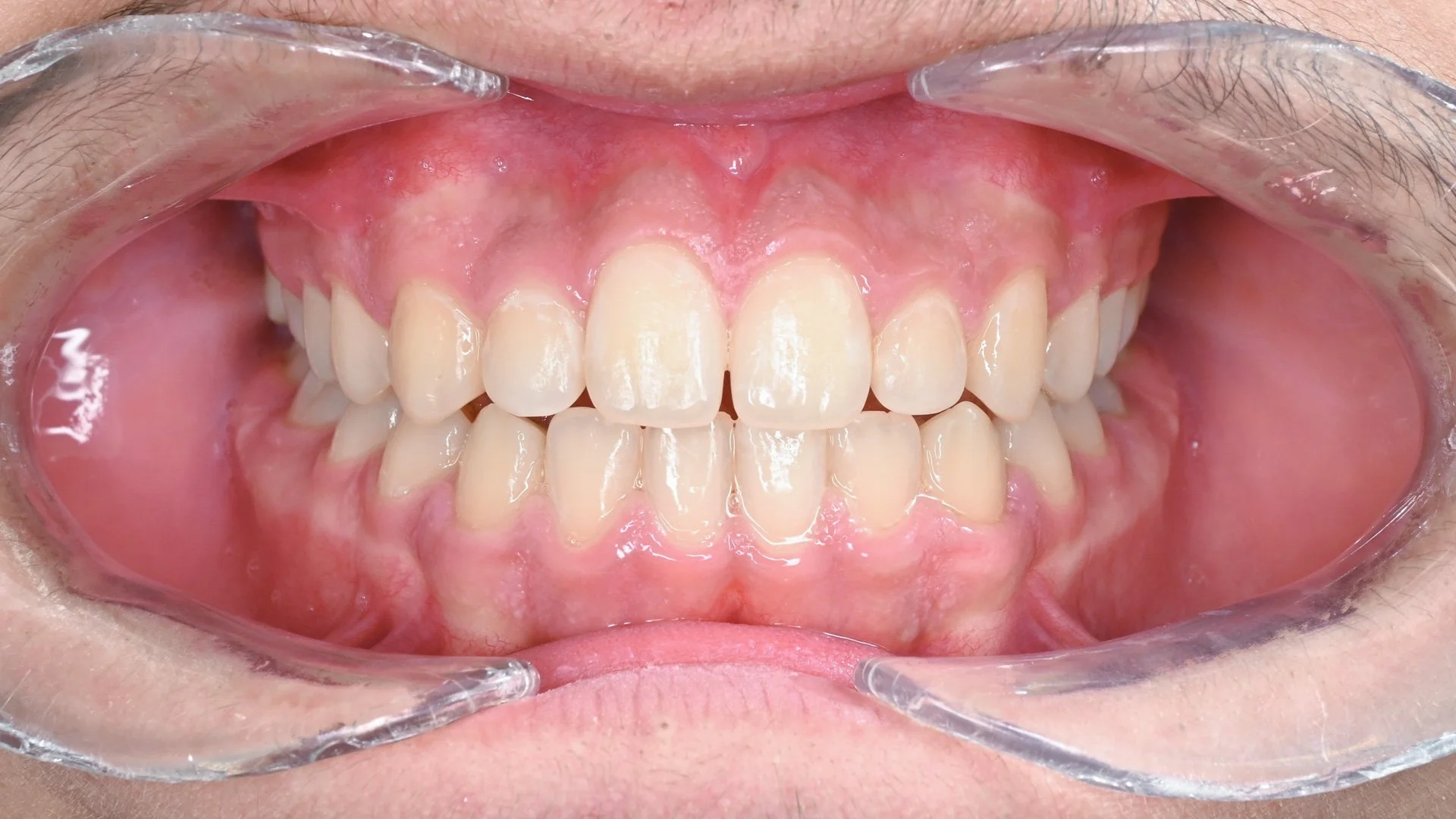
J. : Cas de Classe I DDM

— Traité par Dr. Isabelle Bardet

Sourire avant

Sourire après

Cas de Classe I DDM avant
Cas de Classe I DDM après

Intrabuccale avant

Intrabuccale après

J. a consulté à l’âge de 16 ans et 6 mois pour des préoccupations esthétiques et fonctionnelles. L’évaluation clinique a mis en évidence une malocclusion de type Classe I DDM, affectant l’harmonie de son sourire et la stabilité de son arcade dentaire.

Le traitement, d’une durée de 2 ans, a été réalisé avec des aligneurs, une méthode innovante qui a permis d’optimiser l’alignement des dents tout en assurant un résultat à la fois esthétique et fonctionnel.

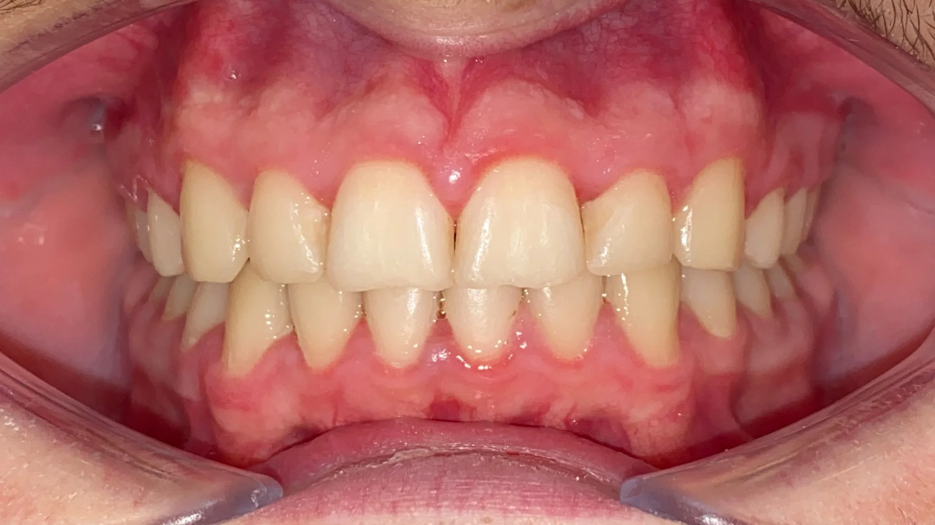
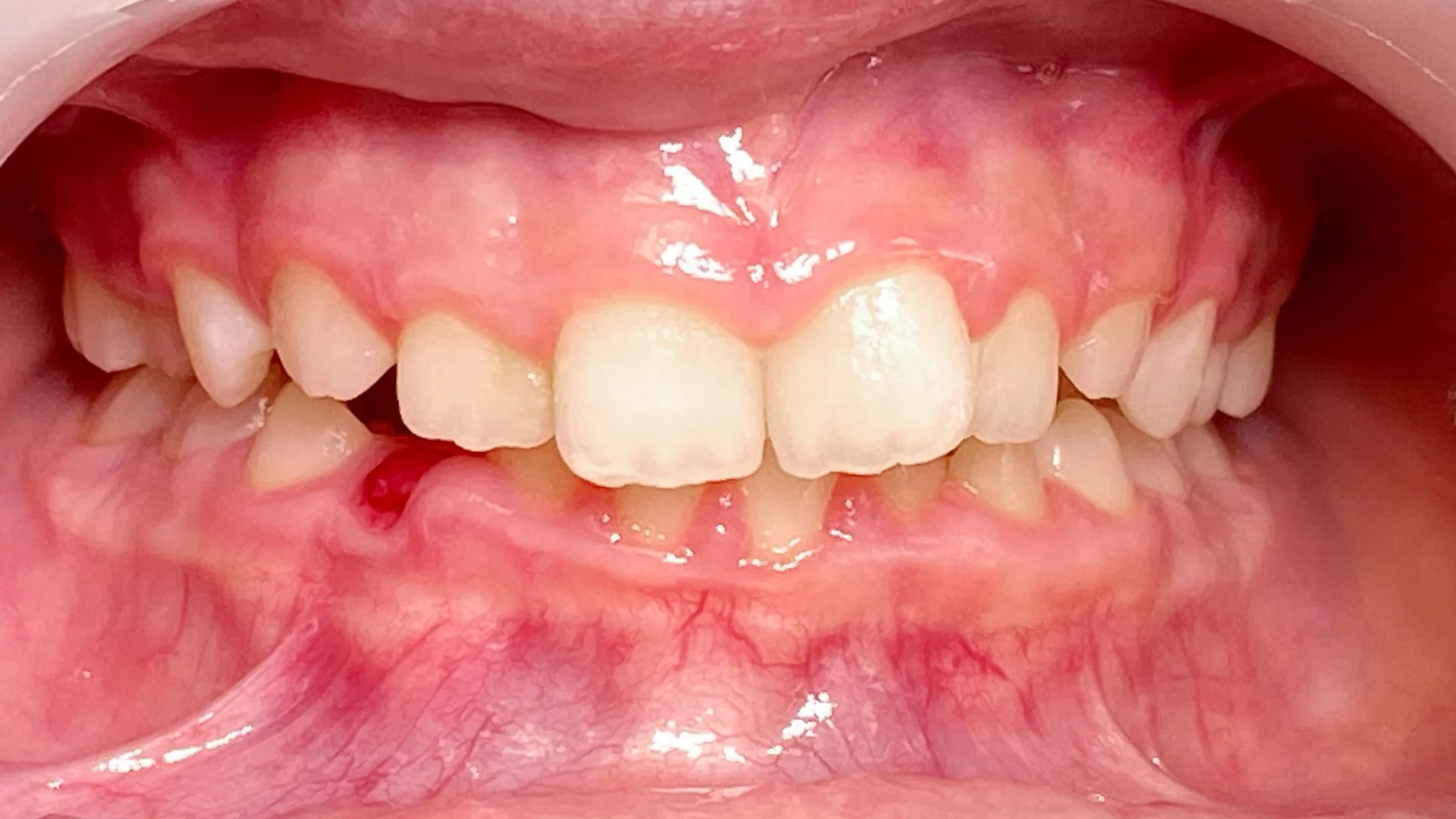
M. : Cas de Classe II 2

— Traité par Dr. Isabelle Bardet

Cas de Classe II 2 avant
Cas de Classe II 2 après

Sourire avant

Sourire après

Cas de Classe II 2 avant
Cas de Classe II 2 après

Intrabuccale avant

Intrabuccale après

M. a consulté à l’âge de 12 ans pour des préoccupations esthétiques et fonctionnelles. L’évaluation clinique a révélé une malocclusion de type Classe II 2, impactant l’harmonie de son sourire et la stabilité de son arcade dentaire.

Le traitement, d’une durée de 3 ans, a reposé sur une approche multi attaches collées associée à l’utilisation d’un élastique de classe II. Cette stratégie thérapeutique a permis d’ajuster l’alignement des dents et de corriger la relation occlusale, offrant ainsi à M. une amélioration notable tant sur le plan fonctionnel qu’esthétique.

M. : Cas de Classe III DDM cross bite antérieur

— Traité par Dr. Isabelle Bardet

M. : Cas de Classe III DDM cross bite antérieur avant
M. : Cas de Classe III DDM cross bite antérieur après

Sourire avant

Sourire après

M. : Cas de Classe III DDM cross bite antérieur avant
M. : Cas de Classe III DDM cross bite antérieur après

Intrabuccale avant

Intrabuccale après

Mo. a consulté à l’âge de 14 ans pour des préoccupations esthétiques et fonctionnelles liées à une malocclusion complexe. L’évaluation clinique a mis en évidence une malocclusion de type Classe III DDM cross bite antérieur, impactant l’harmonie de son sourire et la stabilité de son arcade dentaire.

Le traitement, d’une durée de 3 ans, a suivi une approche en plusieurs étapes clés :

  • Une disjonction sur ancrages palatins a été réalisée pour élargir le maxillaire et préparer l’alignement optimal des dents.

  • L’utilisation d’un Masque de Delaire sur ancrages palatins a permis de corriger le déséquilibre squelettique en stimulant l’avancée maxillaire.

  • Enfin, un traitement multi attaches collées a été mis en place pour finaliser l’alignement dentaire et stabiliser les résultats obtenus.

Préparation au traitement orthodontique

Comment se préparer ?

  • Maintenir une bonne hygiène bucco-dentaire.

  • Effectuer un bilan dentaire avant la pose de l’appareil.

  • Adopter une alimentation adaptée pour éviter d’endommager l’appareil (éviter les aliments collants et durs).

Suivi et entretien après le traitement

  • Port d’un appareil de contention pour stabiliser les résultats.

  • Visites régulières pour s’assurer que les dents restent bien alignées.

Résultats et avantages à long terme

Quels sont les résultats à long terme ?

  • Un sourire harmonieux et bien aligné.

  • Une meilleure mastication et un confort accru.

  • Une diminution des risques de caries et de problèmes de gencives.

Quels sont les avantages ?

  • Une meilleure estime de soi grâce à un sourire esthétique.

  • Une amélioration des fonctions masticatoires et phonétiques.

  • Une prévention des troubles orthodontiques à l’âge adulte.

Transformez le sourire de votre adolescent dès aujourd’hui !

Ne laissez pas les malpositions dentaires impacter son sourire et sa confiance en lui.

Que vous soyez à Annemasse, Gaillard ou Genève, prenez rendez-vous avec notre cabinet dentaire dès aujourd’hui pour une consultation et découvrez la meilleure solution pour votre enfant.

Prendre rendez-vous

Cabinet dentaire exclusif en orthodontie et pédodontie Bardet & Couvreur
adresse: 102, rue de Genève - 74240, Gaillard
Tel: 04.50.38.40.65